

Práctico 5



tomadas por: sofía ferrón.En Biología, reino Protista, también denominado Protoctista, es el que contiene a todos aquellos organismos eucariontes que no pueden clasificarse dentro de alguno de los otros tres reinos eucariotas: Fungi (hongos), Animalia (animales) o Plantae(plantas). Es un grupo altamente parafilético que también se define como eucariotas unicelulares (Cavalier-Smith 20131 ) descendientes de una eucariota ancestral que también era unicelular, pero, además de encontrarse entre los tradicionales "protistas" multicelulares como las algas pardas, se encuentran esparcidos en los reinos de animales, hongos y plantas, que también poseen miembros unicelulares derivados de sus grupos más basales, grupos que ya tenían el plan corporal básico pero no habían llegado a la multicelularidad como aumento de la complejidad. En el árbol filogenético de los organismos eucariontes, los protistas forman varios grupos monofiléticos separados, o incluyen miembros que están estrechamente emparentados con alguno de los tres reinos citados. Se les designa con nombres que han perdido valor filogenético en biología, pero cuyo uso sería imposible desterrar, como «algas», «protozoos» o «mohos mucosos».
- Hábitat: Ninguno de sus representantes está adaptado plenamente a la existencia en el aire, de modo que los que no son directamente acuáticos, se desarrollan en ambientes terrestres húmedos o en el medio interno de otros organismos.
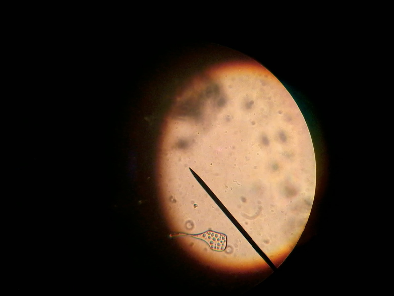
- Organización celular: Eucariotas (células con núcleo), unicelulares o pluricelulares. Los más grandes, algas pardas del género Laminaria, pueden medir decenas de metros, pero predominan las formas microscópicas.
- Estructura: Se suele afirmar que no existen tejidos en ningún protista, pero en las algas rojas y en las algas pardas la complejidad alcanza un nivel muy próximo al tisular, incluida la existencia de plasmodesmos (p.ej. en el alga parda Egregia). Muchos de los protistas pluricelulares cuentan con paredes celulares de variada composición, y los unicelulares autótrofos frecuentemente están cubiertos por una teca, como en caso destacado de las diatomeas, o dotados de escamas o refuerzos. Los unicelulares depredadores (fagótrofos) suelen presentar células desnudas (sin recubrimientos). Las formas unicelulares a menudo están dotadas de movilidad por reptación o, más frecuentemente, por apéndices de los tipos llamados cilios yflagelos.
- Nutrición: Autótrofos, por fotosíntesis, o heterótrofos. Muchas formas unicelulares presentan simultáneamente los dos modos de nutrición. Los heterótrofos pueden serlo por ingestión (fagótrofos) o por absorción osmótica (osmótrofos).
- Metabolismo del oxígeno: Todos los eucariontes, y por ende los protistas, son de origen aerobios (usan oxígeno para extraer la energía de las sustancias orgánicas), pero algunos son secundariamente anaerobios, tras haberse adaptado a ambientes pobres en esta sustancia.
- Reproducción y desarrollo: Puede ser asexual (clonal) o sexual, con gametos, frecuentemente alternando la asexual y la sexual en la misma especie. Las algas pluricelulares presentan a menudo alternancia de generaciones. No existe embrión en ningún caso.
- Ecología: Los protistas se cuentan entre los más importantes componentes del plancton (organismos que viven en suspensión en el agua), del bentos (del fondo de ecosistemas acuáticos) y del edafón (de la comunidad que habita lossuelos). Hay muchos casos ecológicamente importantes de parasitismo y también de mutualismo, como los de los flagelados que intervienen en la digestión de la madera por los termes o los que habitan en el rumen de las vacas. El simbionte algal de los líquenes es casi siempre un alga verde unicelular.

Clasificación[editar]
Los protistas son un taxón parafilético con respecto a otros reinos, debido a que comprenden a todos los descendientes del eucariota ancestral, que comparten el plan corporal básico del eucariota, entre ellos y con el eucariota ancestral, y no poseen las innovaciones que dieron origen a los reinos de plantas, animales y hongos, por lo tanto se encuentran entre ellos miembros que aumentaron su nivel de complejidad hacia la multicelularidad pero sin pertenecer a ninguno de esos tres linajes, como les ocurrió a lasalgas pardas (véase también: Clasificación de los organismos en categorías altas (reinos, dominios, imperios)).
Las últimas décadas vieron múltiples publicaciones de filogenias de los eucariotas basadas en caracteres tomado, bien al ser linajes tan antiguos, el ADN se fue modificando mucho, y mucha de la información que hubiera servido para hacer inferencias de relaciones filogenéticas se ha perdido. Aún así, si bien por los métodos utilizados basados en ADN hasta hoy en día no se pudo obtener más resolución que la hasta hoy acordada (2013), se han encontrado 6 linajes de eucariotas a los que se puso la "nueva" categoría de supergrupos: Excavata, Opisthokonta, Amoebozoa (los dos últimos a veces agrupados en el supergrupo Unikonta con el que se formarían 5 supergrupos), Chromalveolata,Rhizaria y Archaeplastida (el "Plantae sensu lato, en sentido amplio, debido a que abarca más grupos que sólo las embriofitas, las multicelulares y complejas plantas terrestres). Algunos de estos caracteres sirvieron para inferir cómo habría sido el eucariota ancestral: unicelular, fagotrófico (carácter debido al cual pudo engullir a la mitocondria ancestral, y posteriormente, en reinos "botánicos", al cloropasto ancestral o derivado), con mitocondrias, aeróbico (que consume oxígeno, esperable debido al uso de las mitocondrias). Sin embargo, para entender la diversidad de protistas y su megaevolución (su evolución en caracteres que cambian tanta funciones que cambian su plan corporal, su forma básica de sobrevivir y reproducirse), caracteres como los del uso que le dan a su citoesqueleto (el esqueleto interno, que funciona de sostén, y debe ser lo suficientemente plástico como para modificarse para la locomoción y para la alimentación) son mejores indicadores de su plan corporal básico que los caracteres moleculares, que hasta hoy en día hacen inferencias sin determinar a qué categoría taxonómica debería pertenecer su importancia con respecto al funcionamiento del plan corporal (2013). Los protistas en líneas generales se pueden dividir según su modo de locomoción en amebas y flagelados (el eucariota ancestral era un flagelado, si bien la locomoción y alimentación del tipo ameba apareció varias veces, especialmente en los unicontes o más específicamente en los opistocontes, los linajes que dieron origen a animales y hongos). En amebas, los planes corporales aparecen por especializaciones en el sistema de actina/miosina que da movilidad al citoesqueleto; en flagelados, los planes corporales aparecen por especializaciones del sistema de microtúbulos del citoesqueleto que determina de qué forma se anclan los flagelos al resto de la célula y qué función tendrán (cómo se movilizarán, y por lo tanto para qué fines). Estas especializaciones del citoesqueleto son tan básicas para determinar cómo funcionará la célula y cómo sobrevivirá, que cada linaje que contiene alguna especialización es ubicado en categorías muy altas, como filos, clases y órdenes (las 3 categorías justo por debajo del reino, Protista). Estos caracteres se fueron estudiando como aquí descripto y como consecuencia la clasificación en filos se fue modificando desde la década del '70 hasta hoy en día, momento en que su estudio todavía no se considera terminado debido a la enorme falta de datos en grupos pobremente conocidos (véase Crisis de Biodiversidad).
La clasificación del reino Protista en filos ha avanzado desde los '90 debido no sólo a caracteres del citoesqueleto y del ADN ya mencionados, sino también a caracteres de las membranas, membranas celulares o internas, de los protistas, que indican el origen evolutivo de cada membrana (ver por ejemplo en Origen de todas las plantas), y también dan mucha información sobre el plan corporal del protista, ya que éste se comunica con el ambiente y sus organelas se comunican entre sí a través de membranas (las membranas deciden qué entra y qué sale de ellas y bajo qué circunstancias), y son las especializaciones de las membranas las que deciden cuán sensible será el protista al ambiente y cómo lo aprovechará (ver membranas en Cavalier-Smith 20002 ). Las clasificaciones basadas en estos caracteres, demasiado "modernas", todavía no fueron asimiladas en cursos generales de biología (Cavalier-Smith 20131 ). En la clasificación en filos nos encontramos en una fase de consolidación en que el número de filos (que en los '80 se contaban entre 45 y 70) fue enormemente reducido (Cavalier-Smith 2002b,3 2004a,4 2007b,5 2003b,6 20131 ), estableciendo filos que si bien son abarcativos y diversos poseen como característica unificadora el plan corporal básico, de forma similar a lo que ocurre con filos tradicionales en otros reinos como Chordata, Mollusca, Arthropoda (en animales), oTracheophyta (en plantas).
La clasificación de los protistas ha variado mucho en los últimos veinte años. Las nuevas técnicas de comparación directa de secuencias de nucleótidos han permitido salvar el problema de la escasez o ambigüedad de los caracteres morfológicos, sobre todo por su pequeño tamaño y organización sencilla. Empiezan a emerger grupos bien definidos, algunos de los cuales se presentan en el cuadro de arriba.
El reino Protista constituye un taxón parafilético puesto que se basa en el carácter plesiomórfico de la unicelularidad y no contiene a todos los descendientes de las especies que abarca. La pluricelularidad se desarrolló independientemente en varios grupos de Eukarya: Animalia, Fungi, Plantae, Heterokontophyta y Rhodophyta. A pesar de que todos estos grupos tienen como origen un protista, sólo los dos últimos se clasifican dentro del reino Protista.
Los protistas han tenido un papel central en el origen y evolución de la célula eucariota. Se han propuesto varias hipótesis considerando la acumulación de datos sobre la naturaleza quimérica del genoma de los eucariontes. La evolución subsecuente es difícil de determinar por las recombinaciones intertaxonómicas primarias, secundarias e incluso terciarias que tuvieron lugar. Sin embargo, comparaciones de múltiples genes y de datos ultraestructurales aclaran en cierta medida tales eventos. Sobre la base de estos datos se han propuesto algunos grupos monofiléticos y una filogenia aproximada de los protistas.7 8 9 10 11
- Uno de los clados, Primoplantae o Archaeplastida, comprende Rhodophyta (algas rojas) yGlaucophyta. Es también el origen de las algas verdes y de las plantas vasculares terrestres, reino de las Plantas en la taxonomía de Whittaker de 1969. Por ello hoy varios autores incluyen esta rama menor o clado de Primoplantae dentro de la mayor, o clado de las Plantas, y no en el protista. Este clado se caracteriza por la presencia de cloroplastos que se considera que fueron obtenidos por la endosimbiosisprimaria de una bacteria cianofícea. La mayoría de los miembros de Rhodophyta son pluricelulares.
- Otros dos grupos, Chromista y Alveolata (clado Chromalveolata), presentan cloroplastos que se supone han sido adquiridos por endosimbiosis secundaria de un alga roja. El primero comprendeHeterokontophyta (algas pardas, diatomeas, oomicetos, etc), junto a los pequeños grupos Haptophyta yCryptophyta. El segundo comprende Dinoflagellata, Apicomplexa (la mayoría de los antiguos esporozoos) y Ciliophora (ciliados). Algunos miembros han perdido posteriormente los cloroplastos y otros han llegado al nivel de organización pluricelular.
- El clado Excavata comprende un gran número de protistas que antiguamente eran clasificados como flagelados. Se caracterizan por la presencia de un surco ventral de alimentación. Algunos miembros son heterótrofos, mientras que otros presentan cloroplastos que se supone son el resultado de la endosimbiosis secundaria de un alga verde. La clasificación de este grupo es difícil y todavía está en sus inicios. Comprende entre otros, Metamonada, Euglenozoa y Percolozoa.
- El clado Rhizaria se ha constituido con base en datos moleculares. Comprende algunos ameboides que antiguamente formaban parte del grupo de los rizópodos. En concreto, comprende Radiolaria,Foraminifera y una colección diversa de organismos (entre ellos las amebas filosas con testa, algunosmohos mucosos y algunos flagelados con cloroplastos) que se clasifican en Cercozoa.
- El clado Amoebozoa comprende un gran número de protistas ameboides y la mayoría de los mohos mucosos. Sin embargo, otros ameboides que antiguamente formaban parte del grupo de los rizópodos han ido a parar a otros clados. El carácter morfológico de la presencia de seudópodos no es exclusivo de este clado, lo que ha llevado a la confusión de agrupar a protistas no relacionados en las antiguas clasificaciones. Algunos miembros son multinucleados y otros forman agrupaciones que son un modelo para la multicelularidad (Dictyosteliida).
- El clado Opisthokonta, constituido con base en estudios moleculares, comprende a una colección diversa de protistas clasificados en Choanozoa. Es también el origen de los reinos pluricelulares deAnimalia y Fungi. Estos tres grupos se caracterizan morfológicamente por la presencia en los linajes constituyentes de un flagelo opistoconto (situado en la célula en una posición posterior a la del movimiento).
-
El nombre Protoctista[editar]
Durante años la clasificación más aceptada de los seres vivos se basaba en el reconocimiento de cinco reinos. Había sido propuesta por Lynn Margulis a partir de otra anterior originada por su maestro R.H. Whittaker en 1969. Margulis quiso reconocer la prioridad del nombre “Protoctista” (griego, literalmente "primeras criaturas" o "primigenios"), propuesto por J.Hogg en 1860, sobre el nombre “Protista” (griego, literalmente "primerísimos" o "primordiales"), que lo fue por Ernst Haeckelen 1866. Para la mayoría de los especialistas, no se justifica la sustitución del término más común (protista), ni por las reglas de la nomenclatura biológica, ni por la definición del concepto, que en ambos casos es muy impreciso.
Reproducción[editar]
La 'reproducción ocurre de diversas maneras. La gran mayoría de los protistas presentan reproducción asexual, unos pocos tienen un tipo especial de reproducción sexual.
Tipos de reproducción[editar]
- Asexual. Se presenta en las bacterias y protistas. Las bacterias se producen por fisión binaria. Los protistas, entre los cuales se encuentran el paramecio, la ameba, la euglena y otros, lo hacen por mitosis. El plasmodio (parásito de los glóbulos rojos de la sangre) se reproduce por división múltiple.
- Sexual. La reproducción sexual que se presenta en los protistas es muy primitiva y se produce en cierto tipo de algas yprotozoos, en el cual en su reproducción presenta una fase asexual y otras sexual.
Reproducción en Protista[editar]
Las diatomeas, las algas pardas y las algas doradas son organismos unicelulares y por lo general se reproducen asexualmente, pero en algunos casos también lo hacen por singamia (la unión de gametas en la fertilización).
Las algas verdes tienen ciclos reproductivos a menudo complejos. En especies con ciclos sexuales, las gametas de tipos de apareamientos opuestos pueden ser similares en tamaño y estructura (isogamia), diferentes en tamaño pero ambos móviles (anisogamia) o diferentes en tamaño y uno de ellos habitualmente el más grande, no móvil (oogamia).
Algunas algas verdes tienen alternancia de generaciones, en el cual una fase haploide se alterna con una diploide. La primera produce gametos haploides que se fusionan para formar el cigoto. El cigoto produce esporas (una sola célula que, a diferencia de una gameta, puede producir un organismo adulto sin combinarse con otra célula) por división meiótica. En los organismos con alteración de generaciones, la espora haploide germina.
Los mohos mucilaginosos también se reproducen por la formación de esporas. Los mohos acuáticos lo hacen tanto sexual como asexualmente.
Los otros dos grupos de protistas fotosintéticos son las algas rojas, y las dinoflagellata.